TIME TO SMILE – клиника, которую создали настоящие профессионалы, предлагает комплексный подход к лечению зубов.
Стоимость, сроки и этапы лечения обсуждаются с пациентом, учитывая все его пожелания. Наша главная цель – ваша здоровая и красивая улыбка.
Каждый метод и способ лечения доступно объясняются нашими специалистами.
Мы используем современное цифровое оборудование и цифровые протоколы в ходе диагностики, подготовки к лечению, хирургических манипуляций и протезировании
Фотопротокол

Составление плана лечения

3D сканирование зубов

Аксиография

Рентген (3D томограф)

3D-моделирование (CAD/CAM система)

Изучение диагностических моделей
в артикуляторе
Профессиональная гигиена полости рта
(ультразвуковая чистка зубов и Air-flow)

Фоторпрофилактика
(покрытие зубов фтором)
Лечение кариеса

Лечение осложненного кариеса
(пульпит, периодонтит, киста)

Лечение каналов
с использованием микроскопа
Отбеливание зубов Zoom 4

Эстетическая реставрация

Установка виниров
Удаление зубов

Зубосохраняющие операции

Удаление непрорезавшихся зубов

Коррекция тяжей и уздечек

Удаление доброкачественных образований полости рта

Обработка тканей пародонта
аппаратом Vector paro
Установка имплантатов

Установка ортодонтических микроимплантатов

Костная пластика

Пластика мягких тканей

Использование заменителя костной ткани

Синус лифтинг

Хирургический шаблон
Восстановление разрушенных зубов
(коронки, вкладки, накладки, виниры)

Коррекция формы зубов

Протезирование на имплантатах

Установка съемных протезов
при утрате зубов
Установка брекетов

Элайнеры

Коррекция прикуса

Коррекция положения зубов

Подготовка к протезированию
и имплантации
Установка брекетов

Элайнеры

Коррекция прикуса

Коррекция положения зубов

Подготовка к протезированию
и имплантации
Профессиональная гигиена
полости рта
(ультразвуковая чистка
зубов и Air-flow)







Фторпрофилактика
(покрытие зубов фтором)
Заполнение анкеты о налоговых вычетах и личных данных пациента — важный шаг в нашей клинике. Эти анкеты позволяют нам предоставить вам лучшее обслуживание, а также помогают вам воспользоваться налоговыми вычетами на стоматологические услуги, сэкономив ваши финансы. Ваша информация конфиденциальна и безопасна, и мы всегда готовы помочь вам в этом процессе.Мы предлагаем широкий спектр услуг, включая протезирование, ортодонтию, эстетическую реконструкцию и многое другое. Узнайте больше о результатах нашей работы.
Заявка на налоговый вычет
Анкета первичного пациента
Анкета здоровья ребёнка
Мы предлагаем широкий спектр услуг, включая протезирование, ортодонтию, эстетическую реконструкцию и многое другое. Узнайте больше о результатах нашей работы.
4 минуты
3 минуты
5 минуты
5 минуты
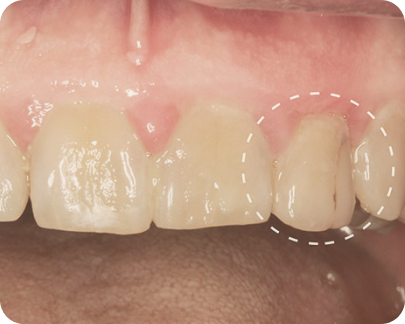
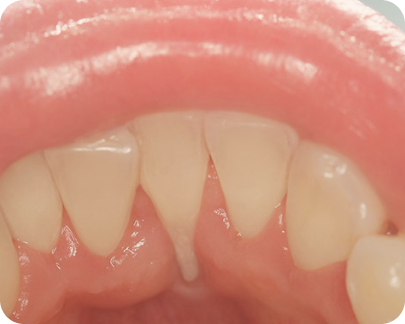
Рецессия десны – состояние, при котором происходит истончение
и убыль мягких тканей, окружающих зубы.
Гайморит или верхнечелюстной синусит – воспалительное заболевание придаточных пазух носа.
Пациент обратился с жалобой на боль при накусывании на передний зуб.
Пациент обратился с жалобой на боль при накусывании на передний зуб.
Рецессия десны
Зубы и гайморит
Немедленная имплантация
Повышенная стираемость зубов и дисфункция ВНЧС
Что вы хотели спросить?
Оставьте нам ваши контактные данные для связи
https://www.youtube.com/watch?v=TDBTeuNNu8Q
https://www.youtube.com/watch?v=eeb4hQngDbY
Нажимая "Отправить" я соглашаюсь с политикой конфиденциальности
Сообщение об успешной отправке!
Выберите услугу
Пожалуйста, выберите дату и время в которые вы бы хотели посетить клинику
Нажимая "Записаться" я соглашаюсь с политикой конфиденциальности
Оставьте, пожалуйста, ваши контактные данные, чтобы мы могли связаться с вами для уточнения деталей записи
Укажите, пожалуйста, причину вашей записи, чтобы мы могли лучше подобрать специалиста
Сообщение об успешной отправке!