Контакты
648-38-48
Записаться
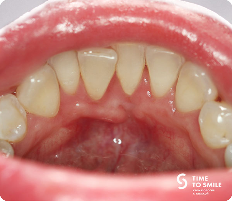
Рецессия десны – состояние, при котором происходит истончение и убыль мягких тканей, окружающих зубы.Причиной могут быть воспалительные процессы, механическая травма, неудовлетворительная гигиена полости рта, вредные привычки. В данном клиническом примере причиной рецессии десны в области нижнего резца с язычной стороны явилась хроническая механическая травма пирсингом.
Подробнее
4 минуты
Рецессия десны – состояние, при котором происходит истончение
и убыль мягких тканей, окружающих зубы.
Рецессия десны
Пациент в течение нескольких лет пользовалась украшением в области языка.
Механическое воздействие такого украшения привело к истончению, а затем к утрате десны в области нижнего зуба и оголению его корня.

Дефект десны приводит к хроническому воспалительному процессу, так как сложности гигиены в этой области ведут к накоплению зубного налёта.Пациент в течение нескольких лет пользовалась украшением в области языка.
В ходе лечения проведена операция по закрытию дефекта с использованием десневого трансплантата из области твердого нёба.
Через 3 месяца после операции наблюдаем практически полное закрытие корня нижнего резца и восстановление десны.