Контакты
648-38-48
Записаться
TIME TO SMILE — клиника, созданная
профессионалами. Мы придерживаемся
комплексного подхода в лечении зубов.Это значит, что мы устраняем причинувашего заболевания, а не предлагаем временные решения проблемы.
4 минуты
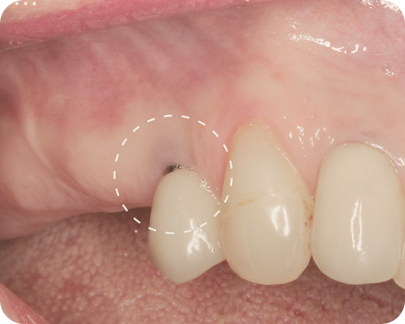
Рецессия десны – состояние, при котором происходит истончение
и убыль мягких тканей, окружающих зубы.
Рецессия десны
3 минуты
Гайморит или верхнечелюстной синусит – воспалительное заболевание придаточных пазух носа.
Зубы и гайморит
5 минуты
Пациент обратился с жалобой на боль при накусывании на передний зуб.
Немедленная имплантация
5 минуты
Пациент обратился с жалобой на боль при накусывании на передний зуб.
Повышенная стираемость зубов и дисфункция ВНЧС
4 минуты
Протезирование зубов при помощи имполантов, Что делать, если не зватает кости и десны?
Костная и десневая пластика
3 минуты
Хейлит – это воспалительный процесс с локализацией в области кожи, красной каймы или слизистой оболочки губ.
Трещина нижней губы (хейлит)
2 минуты
Жалоба на косметический дефект – наличие тёмного участка в области имплантата, который был установлен более 10 лет назад в позиции 4-го зуба и снижение жевательной активности
Рецессия в области имплантата
5 минуты
При осмотре обнаружен дефект прилегания старой пломбы, скол части реставрации и стенки зуба, вторичный кариес под пломбой.
Прямая композитная реставрация
4 минуты
Просто пломба? Не совсем, выполнена художественная реставрация с восстановлением анатомических структур зуба.
Реставрация жевательных зубов
3 минуты
В состав комплексного лечения пародонтита входят методы механической очистки поверхностей корней зубов, ультразвуковые инструменты, медикаментозное воздействие.
Лечение пародонтита апаратом Vector Paro
1 минута
Пациент обратился с жалобой на боль при накусывании на передний зуб.
Профессиональная чистка зубов
2 минуты
Это метод лечения кариеса без бор машины.Кариес развивается по стадиям, первая стадия так и называется – кариес в стадии пятна.
Метод Инфильтрации ICON. Что это такое?
Что вы хотели спросить?
Оставьте нам ваши контактные данные для связи
https://www.youtube.com/watch?v=TDBTeuNNu8Q
https://www.youtube.com/watch?v=eeb4hQngDbY
Нажимая "Отправить" я соглашаюсь с политикой конфиденциальности